->
A B C D E F G H I J K L M N O P Q R S T U V W X Y Z
   Amanita
A. pantherina f. abietinum
A. phalloides
A. phalloides var. alba
A. porphyria
A. rubescens
  Verkostung
A. sub- fraudulenta
A. sub- membranacea
Amaurochaete
A. atra
  22.10.2017
Ampelomyces
A. quisqualis
Amphinema
A. byssoides
Ampulloclitocybe
A. clavipes
Amyloporia
A. sinuosa
  21.06.2015
Amylostereum
A. areolatum
A. laevigatum
Antherospora
A. scillae
Anthina
A. flammea
Anthostoma
A. dryophilum
Anthracobia
A. melaloma
A. nitida
  24.05.2010
  19.08.2010
  19.06.2011
  02.01.2012
A. subatra
A. tristis
Antrodiella
A. hoehnelii
Antrodia
A. serialis
Arachnopeziza
A. aurata

Anthracobia nitida Kollektion
Anthracobia nitida Boudier  

Funddaten:
24.05.2010, MTB 7624/3/4/2, Allmendingen – NSG Schanze, 9°43’43.1” Ost, 48°19’07.0” Nord, 550 ü. NN, gesellig auf Holzasche einer jungen Brandstelle, leg. & det. J. MARQUA.

Fundort:
Kalkmagerrasen, Wacholderheide auf mergeligem Untergrund, ehemalige Abraum-Halde eines Kalk-Steinbruches (Weißjurakalk).

Beschreibung:
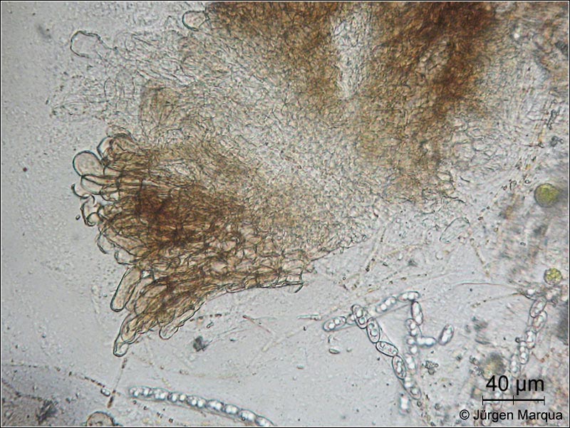
Fruchtkörper 3-5 mm Ø, becherförmig bis flach ausgebreitet oder kissenförmig, Rand ± mit braunen Pusteln besetzt (Haar-Büschel), orange – gelborange.

Sporen [95% • 17 • SAP • v • H2O(nat)]: 16,5-17,7-19 x 7,3-8,1-9 µm; Q = 1,9-2,2-2,5; Vm = 617 µm³; ellipsoid, glatt, hyalin. Paraphysen filiform, apikal keulig verbreitert, orange, im unteren Drittel verzweigt, in Lugol grünbläulich. Asci inamyloid, operkulat mit 8 Sporen. Haare breit, dünnwandig, hellbraun mit 2-4 Septen, 80-120 x 10-15 µm.

Besonderheiten:
Die Carotinoide in den Paraphysen der orange-farbenen Anthracobia-Arten verfärben sich mit Lugol / Melzer grünbläulich bis graugrün.

Literatur:
  • Baral, H.O., Baral, O. & Marson, G. (2003) – In vivo veritas. Over 5800 scans of fungi and plants (microscopical drawings, water colour plates, slides), with material on vital taxonomy. 2nd edition. CD-ROM.
  • DOUGOUD, R. (2001) – Schlüssel zu den Discomyceten auf Brandstellen. In DM XXX / 120 – Übersetzung: Hansueli Aeberhard, CH-Biberist.
  • HOHMEYER, H. & SCHNACKERTZ, H. (1987) – Die Gattung Anthracobia. Beiträge zur Kenntnis der Pilze Mitteleuropas, III: 427 – 438.

(Jürgen Marqua)

Fruchtkörper auf Holzasche (JM1259)
 
Detailansicht d. Fruchtkörper (JM1259)
 
Sporen in Wasser (JM1259)
 
Asci & Paraphysen in Wasser (JM1259)
 
Haare in Wasser (JM1259)
 

Galerie | Artenliste | Lebensräume | Projekte | Links | Impressum

© Copyright Pilzflora-Ehingen.de 2012 Jürgen Marqua. Alle Rechte vorbehalten